At GloSmile Clinic we provide expert dental and aesthetic care. Our treatments enhance health confidence and natural beauty. We are dedicated to creating lasting smiles.
Comprehensive oral care including checkups, cleanings, fillings and preventive treatments to maintain strong teeth and healthy gums for life.
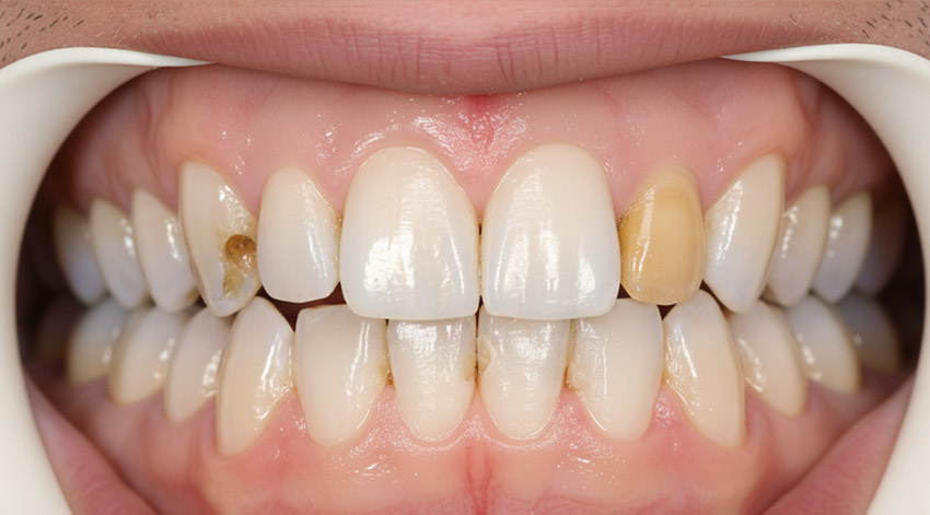
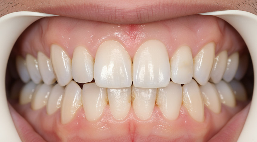
Smile transformations with whitening, veneers, crowns, implants and advanced cosmetic solutions designed to restore function and boost confidence.
Safe professional treatments like PRP therapy and microneedling that restore skin vitality, improve texture, boost radiance and encourage natural healing.
Tailored aesthetic solutions including facials, peels and skin care treatments performed with modern technology to enhance natural beauty.
At GloSmile Clinic we offer complete dental care tailored to every age and need. From preventive checkups and cleanings to advanced restorative and cosmetic procedures our skilled team focuses on maintaining healthy teeth and confident smiles. Using modern technology and patient-focused care we ensure every treatment is safe comfortable and long lasting.
Whether you need routine care or specialized dental solutions our team is here to provide expert guidance and treatment that supports your oral health for life. We take pride in making every visit a step toward lasting confidence and a brighter smile.










At GloSmile Clinic we work with globally recognized dental and aesthetic partners to ensure the highest standards of safety, quality and patient care. From advanced dental materials to leading-edge equipment every product we use is carefully selected to deliver reliable and long-lasting results.




At GloSmile Clinic, we create cosmetic treatments to help brides achieve a radiant, flawless look and lasting confidence for their special day.
At GloSmile Clinic we provide advanced aesthetic solutions designed to restore youthfulness, improve skin health and enhance natural beauty. Our treatments are performed by skilled professionals using modern techniques to deliver safe and effective results tailored to individual needs.
From hair restoration with PRP to facial rejuvenation, microneedling and scar treatments every procedure is carefully planned to boost confidence and achieve long-lasting improvements. We focus on helping you look and feel your best in a comfortable and professional setting.










At GloSmile Clinic we bring together expert dental care and advanced aesthetic solutions to provide safe personalized treatments. Our goal is to ensure healthy smiles and natural beauty with long-lasting results in a modern trusted environment.
Take the first step toward a healthier smile and renewed confidence. Schedule your appointment at GloSmile Clinic today and let our experts provide the care you deserve.
Stay informed with the latest news, clinic updates and insights on dental and aesthetic care. From new treatments to special announcements we keep you updated so you never miss what’s happening at GloSmile Clinic.